Afastamento gengival: técnicas e materiais
Gengival retraction: techniques and materials
Clovis Pagani1
Maria Beatriz Beber Kamozaki2
Carlos Eduardo Francci3
Hilton Riquieri4
Guilherme de Siqueira Ferreira Anzaloni Saavedra5
RESUMO
Este trabalho teve como objetivo levar o leitor uma revisão da literatura sobre os diferentes métodos de afastamento gengival, suas técnicas, indicações e contraindicações. Foram abordadas as variações dos métodos e técnicas, a fim de facilitar a escolha mais adequada às diferentes situações clínicas. São feitas considerações sobre as soluções químicas, os fios utilizados para o afastamento gengival, as pastas adstringentes, bem como a combinação entre eles. Foram elaborados quadros comparativos entre os diferentes métodos de afastamento gengival, entre as soluções químicas mais utilizadas e entre as diferentes marcas comerciais existentes.
Unitermos – Afastamento gengival; Fios de afastamento; Periodontia; Prótese dentária.
ABSTRACT
This paper aims to take the reader on a review of literature about the different methods of gingival retraction, their techniques, indioations and contraindications. Variations of the methods and techniques were discussed in order to facilitate the most appropriate choice for different clinical situations. Some considerations were made about the chemical solutions, the gingival retraction cords, as well as their combination. Comparative tables among the different gingival retraction methods, the most used chemical solutions, and the different trademarks were prepared.
Key words – Gingival retraction; Retraction cords; Periodontics; Dental prosthesis.
1Professor titular do Depto. de Odontologia Restauradora e professor da especialidade de Dentística do Programa de Pós-graduação em Odontologia Restauradora do Instituto de Ciência e Tecnologia de São Jose dos Campos – Faculdade de Odontologia, Universidade Estadual Paulista [Unesp].
2Professora substituta do Depto. de Odontologia Restauradora, mestra e doutoranda da especialidade de Dentística do Programa de Pós-graduação em Odontologia Restauradora do Instituto de Ciência e Tecnologia de São José dos Campos – Faculdade de Odontologia, Universidade Estadual Paulista [Unesp].
3Professor associado do Depto. de Biomateriais e Biologia Oral, professor do Programa de Pós-graduação em Materiais Dentários – Faculdade de Odontologia, Universidade de São Paulo [USP]; Presidente do Conselho da Associação Brasileira de Odontologia Estética [Aboe]; Vice-presidente da Sociedade Brasileira de Pesquisa Odontológica [SBPqO].
4Mestre e doutorando da especialidade de Prótese Dentária do Programa de Pós-graduação em Odontologia Restauradora do Instituto de Ciência e Tecnologia de São Jose dos Campos – Faculdade de Odontologia, Universidade Estadual Paulista [Unesp].
5Professor assistente doutor do Depto. de Materiais Odontológicos e Prótese, professor da especialidade de Prótese Dentária do Programa de Pós-graduação em Odontologia Restauradora do Instituto de Ciência e Tecnologia de São José dos Campos – Faculdade de Odontologia, Universidade Estadual Paulista [Unesp].
Recebido em nov/2015
Aprovado em nov/2015
Introdução
As técnicas de moldagem [convencional ou digital] utilizadas na confecção de próteses fixas constituem um passo de imensa importância para o sucesso de uma reabilitação protética. O correto afastamento gengival possibilita a visualização perfeita da linha de término dos preparos coronários durante a fase de preparação, moldagem e, consequentemente, a reprodução de uma peça protética bem adaptada1-2.
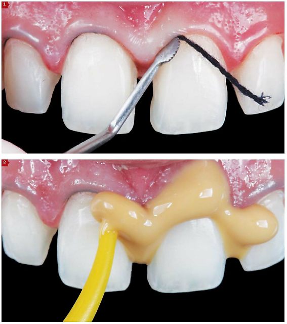
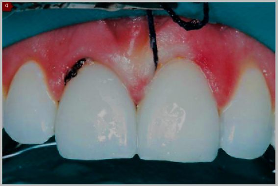
O afastamento gengival deve ser cuidadosamente planejado e executado de acordo com as indicações de cada caso3. Este procedimento pode ser indicado nas etapas de finalização do preparo do limite cervical, realização da moldagem, confecção de restaurações diretas quando for realizado o isolamento relativo e a cimentação de peças protéticas, a fim de evitar a entrada do agente cimentante no interior do sulco gengival e controlar a umidade durante o procedimento, que na fase de moldagem digital impediria a câmara ótica intraoral de registrar com precisão os limites do preparo [Figuras 1 e 4].


Figuras 1 a 4 – Inserção de fio afastador durante a fase de moldagem, para controlar a umidade intrasulcular e afastar lateralmente o tecido gengival; e durante a cimentação, para prevenir a entrada de agente cimentante no interior do sulco. Observar a remoção do fio úmido para não Iacerar o tecido gengival.
Na realização dos preparos coronários, o espaço biológico e a borda da gengiva marginal servem de parâmetro para a localização do limite cervical. Este deve ser supragengival sempre que possível, devido a fatores como: facilidade de higienização, capacidade tátil e visual para verificar a adaptação da peça protética e evitar a introdução de elementos estranhos no sulco gengival4-5. Situações clínicas, bem como exigências estéticas, muitas vezes nos levam a trabalhar as margens dos preparos em regiões subgengivais6.
Os limites cervicais de preparos coronários em regiões subgengivais apresentam obstáculos que se multiplicam, quando comparados aos limites supragengivais, o que dificulta a obtenção da precisão desejada e é considerado um desafio ao operador, devido ao fato de que, no local onde é necessário maior nitidez das margens, o operador trabalha em um campo visual reduzido em virtude das diferentes condições fisiológicas e anatômicas do periodonto, da presença de fluido gengival no interior do sulco e da gengiva marginal que, por muitas vezes, se justapõe ao preparo.
Ainda que o profissional seja muito habilidoso e cuidadoso, a somatória dos passos operatórios, tais como o preparo dos dentes com turbina de alta rotação, a confecção dos provisórios, o reembasamento e cimentação, o afastamento gengival e a moldagem, constitui uma agressão aos tecidos gengivais. Portanto, os tecidos gengivais devem ser manejados da maneira mais atraumática possível durante todas estas fases, além disso, devem ser tomados cuidados após a moldagem, pois é fundamental a correta adaptação das próteses provisórias aos preparos, a ausência de sobrecontornos axiais e uma anatomia oclusal correta, bem como contatos proximais e superfície altamente polida.
Revisão da Literatura
Princípios do afastamento gengival
Independente da técnica utilizada, alguns requisitos são essenciais para um afastamento gengival efetivo, como trabalhar em um tecido gengival sadio, expor o término do preparo e parte da porção apical não preparada do dente, controlar o fluido gengival e a hemorragia, não causar danos irreversíveis aos tecidos, não produzir efeitos sistêmicos, ser atóxico para os tecidos e atraumático7. Por estas razões, estudos que visam a criação e a utilização de novos materiais, e o aprimoramento das técnicas existentes, continuam sendo realizados.
O afastamento gengival efetivo deve criar espaço vazio horizontal e vertical entre o dente e o sulco gengival, a ser preenchido pelo material de moldagem8. O afastamento horizontal é responsável pela integridade e resistência à distorção e fratura do material utilizado na moldagem. Já o afastamento vertical permite a exposição da porção apical abaixo da linha de término, facilitando a troquelização dos modelos para uma correta análise do perfil de emergência do trabalho protético que será realizado. Entretanto, o afastamento deve ser realizado da forma mais atraumática possível, respeitando o espaço biológico e, desta forma, trabalhando em uma gengiva sadia. A invasão deste espaço resulta em danos irreversíveis, por provocar inflamações que se traduzem em retrações gengivais e ósseas não controladas9.
Métodos de afastamento gengival
O afastamento gengival pode ser realizado de distintas maneiras, as quais estão inseridas dentro de três principais categorias: métodos mecânicos, métodos químico-mecânicos e métodos cirúrgicos. A técnica químico-mecânica é a mais utilizada e consiste no afastamento mecânico da gengiva através da colocação de fios trançados, entrelaçados ou tricotados, embebidos em soluções químicas que propiciam a vasoconstricção, promovendo o controle do fluido gengival e hemostasia temporária [Quadro 1].
Métodos mecânicos
Os métodos mecânicos consistem no afastamento sob pressão e podem ser realizados pela inserção de fios retratores no interior do sulco gengival, ou com a utilização de casquetes individuais10.
Técnica de afastamento com fio retrator
Este procedimento é realizado com o auxílio de instrumentos desenvolvidos especificamente para esta finalidade. As espátulas para a inserção de fios retratores podem ter a extremidade circular não serrilhada ou serrilhada. A primeira é indicada para a inserção de fios retratores torcidos ou entrelaçados, e facilita a inserção do fio com movimento deslizante em direção ao interior do sulco gengival. As espátulas com extremidade circular serrilhada são indicadas para auxiliar na colocação dos fios tricotados, pois a serrilha penetra no fio tricotado e auxilia na colocação do mesmo, além de evitar que a espátula escorregue e cause danos ao tecido gengival [Quadro 2].


A utilização de fios retratores possui como vantagem o baixo custo e a possibilidade de alcançar diferentes graus de afastamento, dependendo do tipo e calibre do fio escolhido. No entanto, a utilização desta técnica pode causar dor e desconforto ao paciente. Além disso, o tecido gengival retorna à sua posição original pouco tempo após a remoção do fio para afastamento.
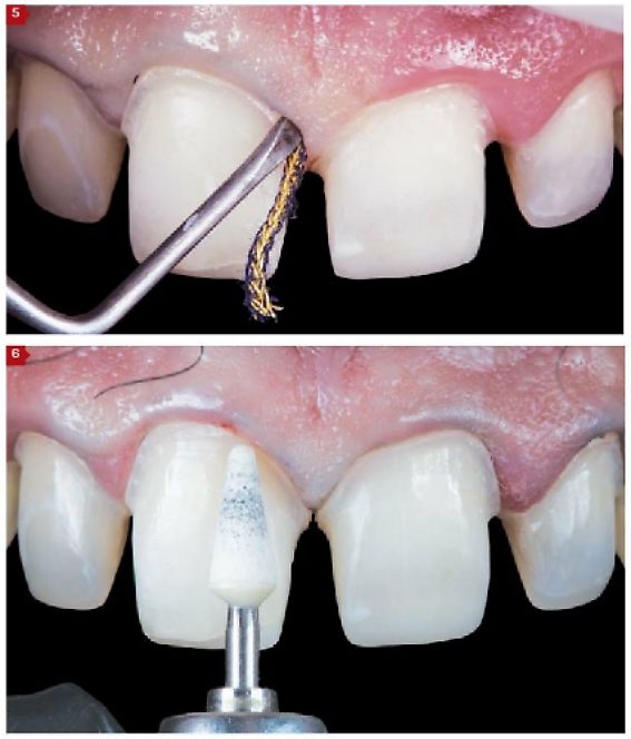
O afastamento com uso de fio a seco pode ser utilizado no momento dos preparos coronários. A colocação de um fio para afastamento não impregnado, antes do preparo final, facilita o preparo intrasulcular e previne a laceração acidental da parede sulcular com broca [Figuras 5 e 6]. No entanto, para a realização da moldagem, um novo afastamento gengival deverá ser realizado.

Figuras 5 e 6 – Inserção de fio afastador durante a fase de acabamento do preparo coronário, que previne a Iaceração acidental da parede sulcular com broca.
Técnica dos casquetes individuais
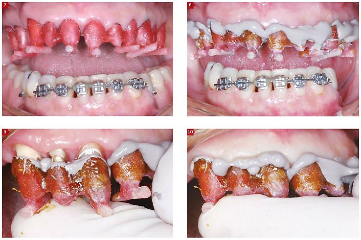
Esta técnica foi descrita em 196211. O autor apresentou a técnica de moldagem utilizando um casquete de resina acrílica ajustado ao término cervical do preparo. O casquete deve ser aliviado internamente, criando espaço para o material de moldagem e, após a colocação do material, o mesmo deve ser levado ao dente preparado [Figuras 7 a 10]. Esta é, portanto, uma técnica de afastamento gengival e moldagem, sendo considerado um método atraumático ao periodonto e indicado para moldagens unitárias ou múltiplas.

Figuras 7 a 10 – Sequência de moldagem por meio de casquete de resina acrílica e mercaptana, ilustrando a fase de prova dos casquetes até a compressão final, onde é possível visualizar a isquemia e o respectivo afastamento atraumático tecidual.
Métodos químico-mecânicos
Estes métodos são realizados de forma mecânica, aliados a soluções químicas vasoconstritoras e/ou adstringentes. Podem ser realizados através da colocação de fios afastadores impregnados por soluções químicas, que constituem a técnica mais utilizada atualmente, ou pela utilização de pastas adstringentes12.
O campo de trabalho deve ser mantido livre de umidade, para evitar que as soluções sofram diluição de seus agentes químicos, tendo sua eficácia diminuída consideravelmente. Além disso, deve-se ter o cuidado de não tocar os fios com luvas cheias de resíduos de pó e evitar o toque do fio com luva de látex, além da extremidade que será desprezada, pois pode ocorrer a inibição indireta da polimerização dos silicones de adição.
A inserção do fio retrator deve ser realizada sutilmente, em direção apical, com inclinação de 45 graus [Figuras 11 e 12]. O uso de anestesia é indicado para evitar dor durante a inserção do fio, bem como para controlar a salivação do paciente. Desta forma, haverá melhor aproveitamento da capacidade de retração das soluções utilizadas. Como o fio deve ser mantido em posição durante alguns minutos e o campo operatório deve ser mantido seco, é necessário umedecer o fio antes de removê-Io, evitando lesões ao tecido gengival devido à aderência do fio ao epitélio sulcular [Figura 2].
O método de afastamento gengival químico-mecânica com fios afastadores pode ser dividido em duas técnicas: afastamento com fio único ou fio duplo.

Figuras 11 e 12 – Método de afastamento gengival por retração químico-mecânica com fios. Inserção do fio afastador em direção apical, com inclinação de 45 graus.
Técnica do fio único
Esta técnica consiste na colocação de um único fio previamente à moldagem. É indicada quando os tecidos gengivais estão sadios, firmes e não apresentam sangramento. A deflexão lateral obtida com um fio é razoável, no entanto, pode ser insuficiente para um bom afastamento. Como desvantagem, o controle de umidade do campo operatório pode ser ineficiente.
Técnica do fio duplo
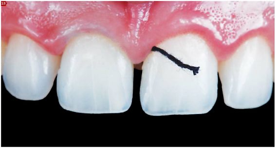
Um no extrafino é colocado na extensão de todo o sulco gengival, sem interposição de suas extremidades, e em seguida um segundo fio de calibre maior é colocado sobre o primeiro [Figuras 13 e 14]. O segundo fio é removido [deve estar úmido para não aderir nas paredes internas do sulco gengival, o que pode causar desepitelização e sangramento] antes da moldagem, e o fio extrafino é mantido em posição na região mais profunda do sulco gengival. Esta técnica promove um controle muito eficiente de umidade e hemorragia, devendo ser realizada com cautela para evitar os danos permanentes ao tecido gengival devido à maior possibilidade de causar traumas.
Utilização de matriz injetável ou matriz inerte
As pastas adstringentes à base de cloreto de alumínio a 15% são matrizes injetáveis que foram desenvolvidas para afastar o tecido gengival e, ao mesmo tempo, controlar o sangramento gengival. Por serem injetadas diretamente no interior do sulco gengival, são geralmente mais confortáveis ao paciente e fáceis de aplicar13. Até o momento, não foram encontrados efeitos adversos, além disso, foi comprovada eficiência similar na utilização de epinefrina quanto à diminuição do fluxo do fluido gengival crevicular. Esta matriz hidrofílica pode ser removida facilmente antes da moldagem. No entanto, como qualquer material introduzido na cavidade bucal, existem riscos de resíduos permanecerem no interior do sulco, levando a inflamações subsequentes14. Como vantagem, apresenta um baixo risco para inflamação e facilidade de aplicação. Alem de ser uma técnica mais cara, quando comparada à utilização de fios afastadores, devem ser observadas interações com os materiais de moldagem a serem utilizados, como nas moldagem com poliéter.
A matriz inerte é um polímero de polivinilsiloxano, que foi introduzido em 2005 e é utilizado para promover o afastamento gengival mecânico através da expansão de hidrogênio contra as paredes do sulco. O material não causa inflamação ou irritação aos tecidos, e pode ser aplicado facilmente15.
Métodos cirúrgicos
Estes são considerados os métodos mais radicais e criteriosos, pois consistem na remoção da porção da parede interna do sulco gengival, promovendo assim o alargamento do sulco. No entanto, estes métodos possuem suas indicações e, em diversas situações, são os únicos efetivos quando as margens dos preparos precisam ser posicionadas além da profundidade típica.
Eletrocirurgia
Em determinadas situações clinicas, não é possível realizar o afastamento gengival com fio retrator. A eletrocirurgia pode ser uma alternativa eficiente em casos de hipertrofia do tecido gengival que proliferou sobre as linhas de terminação devido a sobrecontornos de restaurações, lesões de cárie ou provisórios mal adaptados, ou até mesmo em uma gengiva sadia, mas que a terminação das margens cervicais dos preparos seja muito perto da inserção epitelial, tornando impossível o afastamento da gengiva, o suficiente para a obtenção de uma moldagem adequada.
Para a realização desta técnica, é empregado o uso de um bisturi elétrico. Apresenta como vantagens: esterilização imediata da ferida, coagulação e cicatrização por primeira intenção. A técnica é contraindicada para pacientes portadores de marca-passo cardíaco, diabetes ou discrasias sanguíneas. Uma atenção especial deve ser dada nos casos de pacientes que apresentam gengivas inseridas delgadas e frágeis, e osso alveolar muito fino, nos quais este método de afastamento deve ser evitado16-17.
Curetagem com instrumento rotatório
A curetagem é realizada com turbina de alta rotação, brocas específicas e irrigação abundante. Geralmente, é realizada concomitantemente ao preparo da linha de término. Sua indicação é para gengivas sadias e com boa queratinização, devendo ser evitada em casos de dentes comprometidos periodontalmente, pois pode causar o aprofundamento do sulco. Após o final do preparo, deve ser colocado um fio saturado a fim de promover a hemostasia18-19.


Figuras 13 e 14 – Técnica de fio duplo. Observar que a primeira inserção é realizada com fio de menor diâmetro, compatível com o espaço existente no interior do sulco gengival. Para sua remoção, é importante umidificar para evitar sangramentos e, posteriormente, secar com leve jato de ar.
Laser
A utilização dos lasers para esta finalidade é uma alternativa atrativa, quando comparada a outros métodos, porém, é uma técnica que apresenta alto custo da aparelhagem e necessita de muito critério por parte do operador, devendo o mesmo evitar contato com os tecidos duros. Como vantagem, a utilização do laser de Neodymium: yttrium-aluminum-garnet [Nd:YAG] no comprimento de onda de 1.064 nm produz hemostasia imediata e retração gengival mínima, preservando a altura da gengiva marginal20-21.
Materiais para realização do afastamento gengival
Os materiais podem ser classificados em três grupos, baseados no método de aplicação: agentes hemostáticos, fios retratores, pastas e géis retratores [Quadro 3].
Agentes hemostáticos
A escolha do agente hemostático deve levar em conta as condições locais da aplicação, bem como as condições sistêmicas do paciente. A adrenalina ou epinefrina racêmica de 0,1% a 0,8% devem ser evitadas em pacientes hipertensos, cardiopatas, diabéticos, com hiperparatireoidismo ou que façam uso de medicamentos antidepressivos. Esta solução, quando absorvida em doses maiores pelo organismo, pode causar a “síndrome da epinefrina”, levando a taquicardia, aumento da pressão arterial, aumento da frequência respiratória, nervosismo e cefaleia22. O uso de epinefrina racêmica também deve ser evitado em sulcos ulcerados.
O sulfato de alumínio é um adstringente brando, pouco ácido e não apresenta efeitos sistêmicos, podendo ser utilizado em pacientes cardiopatas. O sulfato de alumínio e potássio, também conhecido como alúmen, pode ser mantido no sulco gengival por até 20 minutos sem efeitos adversos. O alúmen é pouco irritante, efetivo e altamente recomendado22. Entretanto, existem relatos de que fios impregnados com alúmen possuem enxofre em sua composição, o que pode afetar a polimerização do silicone de adição no ato da moldagem.
Uma das soluções hemostáticas mais empregadas é o cloreto de alumínio. Esta solução é utilizada juntamente com fios não impregnados, e está presente em alguns fios impregnados e nas pastas afastadoras. Ela promove boa hemostasia, afastamento eficiente e é considerada segura por não apresentar efeitos colaterais23.
O sulfato férrico é uma solução adstringente muito eficaz, podendo manter o afastamento por até 30 minutos, mas não deve ser utilizado em concentrações acima de 15%. Como efeito adverso, ele pode colorir os tecidos gengivais, e o manchamento pode desaparecer após um ou dois dias24.
O ácido tânico de 20% a 100% também pode ser utilizado como agente químico para o afastamento gengival. Ele não causa efeitos sistêmicos e irritação tecidual, porém, oferece pouca hemostasia e efetividade25 [Quadros 4 e 5].
Fios afastadores
Os fios afastadores disponíveis no mercado podem apresentar diversas espessuras, serem impregnados ou não por soluções adstringentes ou vasoconstritoras e ainda diferem quanto à sua estrutura, podendo ser torcidos, trançados ou tricotados.
Em relação à espessura, dependendo da marca comercial, são encontrados em calibres de 000; 00; 0; l; 2; e 3 [do extrafino para o mais calibroso], ou podem ser classificados como fino, médio ou grosso25.
Os fios devem ser fortemente torcidos antes de sua colocação, conferindo-lhes um menor diâmetro e maior rigidez. Eles apresentam pouca absorção de solução, além de desfiarem facilmente. Os fios trançados são mais fáceis de manusear, não desfiam tão facilmente e apresentam retenção de solução moderada. Os fios tricotados são anéis entrelaçados, firmes, que não desfiam facilmente e retêm maior quantidade de solução. Tanto os fios trançados quanto os tricotados não devem ser torcidos previamente à sua colocação.



Existem poucas evidências científicas quanto à configuração de fio que apresenta a melhor performance clínica, ficando a escolha por conta do profissional3
Pastas adstringentes de afastamento gengival
As pastas adstringentes de afastamento gengival foram desenvolvidas com o intuito de facilitar o procedimento de moldagem, tornando-o mais rápido e atraumático para o paciente. Geralmente, as cápsulas são acopladas as seringas e possuem um bico fino para a aplicação diretamente no interior do sulco gengival. A composição é à base de cloreto de alumínio 15%, e o composto atua afastando o tecido gengival do dente e promovendo hemostasia14-15.
Discussão
Os diferentes métodos descritos provocam um certo grau de agressão aos tecidos gengivais. No entanto, todos eles são efetivos quando bem indicados e executados. As situações clinicas exigem atenção especial, e a escolha de técnicas diferentes, ou até mesmo a fusão delas, pode ser realizada para cada caso ou em um único paciente, porem, em áreas distintas.
Um fator importante para determinar a escolha do método é a avaliação da condição sistêmica do paciente, levando em conta os efeitos colaterais de agentes hemostáticos, como a epinefrina que, dependendo da concentração, é contraindicada para pacientes cardiopatas.
O tempo de cicatrização também difere em relação às soluções empregadas e às diferentes técnicas disponíveis, visto que o sulfato férrico a 13,5% promove uma cicatrização mais rápida, quando comparado ao cloreto de alumínio, e a utilização do laser apresenta cicatrização mais rápida, quando comparada a qualquer outro método mecânico-químico, independente da solução utilizada.
A curetagem com instrumentos rotatórios é de simples realização, rápida e eficaz. Entretanto, apresenta um alto potencial de agressão aos tecidos, provoca sangramento abundante e seu tempo de cicatrização é longo [em torno de 21 dias], assim como a eletrocirurgia.
A utilização de fios afastadores, especialmente a técnica de fio duplo associada a soluções hemostáticas como cloreto de alumínio e sulfato férrico, é altamente recomendada, pois apresenta excelentes resultados, é segura e possui um bom tempo de trabalho.
As tiras, pastas e géis para afastamento gengival foram introduzidos mais recentemente no mercado, e apresentam como vantagens: maior conforto ao paciente e menor sangramento. Assim como os outros materiais e técnicas, não podem ser indicados para todas as situações clínicas.
Conclusão
Os métodos químico-mecânicos são os mais utilizados atualmente, por serem efetivos, apresentarem controle do exsudato e bom tempo de trabalho, especialmente quando utilizados em associação com soluções de cloreto de alumínio e sulfato férrico. No entanto, a escolha da técnica, bem como dos materiais utilizados para realizar o afastamento gengival, depende de variadas condições clínicas, levando em conta o conforto do paciente durante o tratamento, a eficácia para o procedimento em questão, a preferência do operador e, principalmente, o tipo de moldagem [convencional ou digital] a ser executado. Todos os métodos são efetivos, quando bem indicados e executados.
Nota de esclarecimento
Nós, os autores deste trabalho, não recebemos apoio financeiro para pesquisa dado por organizações que possam ter ganho ou perda com a publicação deste trabalho. Nós, ou os membros de nossas famílias, não recebemos honorários de consultoria ou fomos pagos como avaliadores por organizações que possam ter ganho ou perda com a publicação deste trabalho, não possuímos ações ou investimentos em organizações que também possam ter ganho ou perda com a publicação deste trabalho. Não recebemos honorários de apresentações vindos de organizações que com fins lucrativos possam ter ganho ou perda com a publicação deste trabalho, não estamos empregados pela entidade comercial que patrocinou o estudo e também não possuímos patentes ou royalties, nem trabalhamos como testemunha especializada, ou realizamos atividades para uma entidade com interesse financeiro nesta área.
Endereço para correspondência
Guilherme de Siqueira Ferreira Anzaloni Saavedra
Av. Eng. Francisco José Longo, 777 – Jd. São Dimas
12245-000 – São José dos Campos – SP
Tel.: (12) 3947-9032
saavedra_guilherme©hotmail.com
Referências
1. Padbury Jr. A, Eber R, Wang HL. lnteractions between the gingiva and the margin of restorations. J Clin Periodontol 2003;30(5):379-85.
2. Winstanley RB, Carrotte PV, Johnson A. The quality of impressions for crowns and bridges received at commercial dental laboratories. Br Dent J 1997;l83(6):209-13.
3. Jokstad A. Clinical trial of gingival retraction cords. J Prosthet Dent 1999;81(3):258-61.
4. Baharav H, Kupershmidt I, Laufer BZ, Cardash HS. The effect of sulcular width on the linear accuracy of impression materials in the presence of an undercut. Int J Prosthodont 2004;17(5):585-9.
5. Block PL. Restorative margins and periodontal health: a new look at an old perspective. J Prosthet Dent 1987;57(6):683-9.
6. Serio FG, Strassler HE. Periodontal and other soft tissue considerations in esthetic dentistry. J Esthet Dent 1989;1(6):177-88.
7. Nevins M, Skurow HM. The intracrevicular restorative margin, the biologic width, and the maintenance of the gingival margin. lnt J Periodontics Restorative Dent 1984;4(3):30-49.
8. Donovan TE, Chee WW. Current concepts in gingival displacement. Dent Clin North Am 2004;48(2):433-44.
9. Rue] J, Schuessler PJ, Malament K, Mori D. Effect of retraction procedures on the periodontium in humans. J Prosthet Dent 1980;44(5):508-15.
10. Pagani C. Preparos Dentários: Ciência e Arte, 2014.
11. Cannistraci AJ. A new approach to impression taking for crown and bridge. Dent Clin North Am 1965;29(1):33-42.
12. Donovan TE, Gandara BK, Nemetz H. Review and survey of medicaments used with gingival retraction cords. J Prosthet Dent 1985;53(4):525-31.
13. Gupta A, Prithviraj DR, Gupta D, Shruti DP. Clinical evaluation of three new gingival retraction systems: a research report. J Indian Prosthodont Soc 2013;13(1):36-42.
14. Al Hamad KQ, Azar W Z, Alwaeli HA, Said KN. A clinical study on the effects of cordless and conventional retraction techniques on the gingival and periodontal health. J Clin Periodontol 2008;35(12):1053-8.
15. Acar O, Tuncer D, Yuzugullu B, Celik C. The effect of dentin desensitizers and Nd:YAG laser pre-treatment on microtensile bond strength of self-adhesive resin cement to dentin. J Adv Prosthodont 2014;6(2):88-95.
16. Wilhelmsen NR, Ramfjord SP, Blankenship JR. Effects of electrosurgery on the gingival attachment in rhesus monkeys. J Periodontol 1976;47(3):160-70.
17. Lampert SH. Combined electrosurgery and gingival retraction. J Prosthet Dent
1970;23(2):164-72.
18. Kamansky FW, Tempel TR, Post AC. Gingival tissue response to rotary curettage. J Prosthet Dent 1984;52(3):380-3.
19. Brady W F. Periodontal and restorative considerations in rotary gingiva] curettage. J Am Dent Assoc 1982;105(2):231-6.
20. Gherlone EF, Maiorana C, Grassi RF, Ciancaglini R, Cattoni F. The use of 980-nm diode and 1064-nm Nd: YAG laser for gingival retraction in fixed prostheses. Oral Laser Applications 2004;4(3):8.
21. Goharkhay K, Moritz A, Wilder-Smith P, Schoop U, Kluger W, Jakolitsch S et al. Effects on oral soft tissue produced by a diode laser in vitro. Lasers Surg Med 1999;25(5):401-6.
22. Weir DJ, Williams BH. Clinical effectiveness of mechanical-chemical tissue displacement methods. J Prosthet Dent 1984;51(3):326-9.
23. Yalcin M, Barutcigil C, Umar I, Bozkurt BS, Hakki SS. Cytotoxicity of hemostatic agents on the human gingival fibroblast. Eur Rev Med Pharmacol Sci 2013;17(7):984-8.
24. Akca EA, Yildirim E, Dalkiz M, Yavuzyilmaz H, Beydemir B. Effects of different retraction medicaments on gingival tissue. Quintessence Int 2006;37(1):53-9.
25. Mendes EM, Pagani C. Considerações sobre os métodos de afastamento gengival. J Bras Clín Estét Odontol 2001;5(26):6.
Fonte: Revista Prótese News – Volume 2 – Número 4 – Outubro/Dezembro 2015