Modelos alveolares: convencional versus digital
O desafio de integrar os conceitos fundamentais por meio da tecnologia.
Os modelos alveolares estão relacionados à obtenção do modelo de trabalho em gesso tipo IV, etapa muitas vezes executada de maneira inadequada por cirurgiões-dentistas e técnicos – apesar de ser um passo fundamental no fluxo de trabalho em restaurações indiretas.
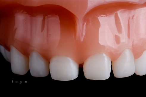
Também conhecidos como modelos de Willi Geller, eles vêm sendo muito utilizados na confecção de peças protéticas por preservarem a morfologia dos alvéolos e, principalmente, a arquitetura gengival em modelos de gesso, o que permite criar uma referência importante para o desenvolvimento do contorno cervical e perfil de emergência para a futura prótese (Figuras 1 e 2).


Figuras 1 e 2 – O modelo alveolar preserva a morfologia dos alvéolos e, principalmente, a arquitetura gengival, o que permite criar uma referência importante para o desenvolvimento do contorno cervical e perfil de emergência da prótese.
Esta técnica é também conhecida como carrot model technique. Aqui no Brasil e em alguns lugares da América Latina, este trabalho pode ser chamado de troquel de gesso, troquel de encaixe ou troquel cenoura, por suas características morfológicas parecerem esta raiz vegetal. A utilização desta técnica permite obter referências adjacentes ao dente de maneira precisa, além da estrutura dental ser removível.
A literatura não é clara sobre quem foi o primeiro a desenvolver e utilizar esta técnica. Mas, acredita-se ser um dos tipos mais antigos e tradicionais de modelos de trabalho na Prótese Dentária. Sabe-se que Willi Geller foi um dos responsáveis em difundi-la, preconizando a confecção de uma matriz cônica passível de ser removida da base alveolar, preservando as referências necessárias, como é o caso do tecido mole copiado durante a etapa de moldagem. Esta técnica, batizada com o nome do autor (ou seja, modelo alveolar de Willi Geller), traz como vantagens a reprodução de apenas um dente em modelo de arco total, sem a necessidade de um novo preenchimento completo do molde1.
Além disso, como maior benefício, destaca-se a correta visualização da relação entre os dentes e o tecido mole, preservando a arquitetura gengival, o que permite a confecção de peças protéticas com contornos adequados, evitando o black space e, se necessário, pode-se ainda remodelar as papilas gengivais. Para que isso seja possível, é fundamental que a técnica seja precisa e que todos os passos sejam respeitados (Figuras 3 e 4).


Figuras 3 e 4 – Vista oclusal do modelo alveolar. Observar a preservação da arquitetura gengival.
O modelo alveolar preserva a arquitetura gengival no gesso, ao passo que em qualquer outro sistema de modelo troquelizado, com técnica diferente, é imperativo delimitar o troquel e, para isso, é exposta a linha de término do preparo – o que leva à perda de referência gengival, mesmo em sistemas onde a gengiva é reposicionada. Desta forma, as estruturas são reproduzidas de maneira mais próxima do real, o que favorece esculpir os elementos respeitando o perfil de emergência e o contorno cervical de cada situação clínica. Estas características propiciam que o modelo alveolar seja bonito e bem apresentável, diferenciando o trabalho do técnico.
Outra vantagem é o baixo custo de confecção, por não exigir aquisição de equipamentos, como recortador de palato, máquina perfuradora de base de modelos para posicionar o pino do troquel e placas plásticas com pinos. É necessária apenas uma broca de qualidade, de tungstênio cilíndrica e ponta arredondada, para corte de metal (tarja vermelha).
A dificuldade está relacionada apenas à capacidade e treinamento do profissional – fator que demanda um período e precisa de investimento de tempo para desenvolver habilidade. A precisão está na visão, sensibilidade, cuidado, esmero e conhecimento dos detalhes a serem respeitados para reproduzir um troquel fiel. O procedimento é muito sensível e depende de um bom planejamento e treinamento das etapas técnicas. O profissional que dominar o sistema de troquel alveolar terá facilidade de utilizar qualquer outro tipo de sistema.
As limitações podem estar relacionadas à sensibilidade da técnica, tempo para construir o troquel (o que é diretamente proporcional ao número de elementos) e à reprodutibilidade com padronização. Tudo depende da habilidade manual e individual, além do nível de exigência.
Uma situação muito frequente é a dificuldade em remover o troquel do modelo sem prejudicar a arquitetura gengival ou quebrar a papila. Isso depende da visão treinada e do entendimento sobre o processo de confecção do modelo, além da percepção de que o que faz o troquel sair do modelo é justamente a ausência de retenção (obter a passividade).
Outro fator essencial neste sistema é a estabilidade do troquel no modelo. Muitas vezes, o profissional tem receio do troquel não sair do modelo e acaba exagerando na quantidade de alívio com cera, gerando uma folga que interfere na estabilidade. Com o tempo e a repetição, o técnico passa a adquirir a experiência de perceber, enxergar e desenvolver a habilidade para conseguir a passividade do sistema com estabilidade. Isto depende da simetria, regularidade, expulsividade, além da lisura superficial no gesso tipo IV.
Uma etapa muito sensível é o reposicionamento do troquel no molde, pois é fácil errar esta posição de assentamento final. Existem alguns recursos técnicos para evitar que isso aconteça, como: aplicação de vaselina ou cola branca para o troquel deslizar com mais facilidade no molde até a posição correta e para não ter movimentação com o peso do gesso ou vibração no momento de verter o gesso no molde, na segunda etapa do processo. Existem relatos de fixação com cianoacrilato (Super Bonder), alfinete e união com cera. O ideal seria utilizar nada para fixar e posicionar com precisão, além do uso de um microscópio em 360º ao redor do troquel para analisar a exatidão do encaixe.
O silicone que polimeriza por adição ou condensação de baixa viscosidade (alta fluidez) tem a capacidade de copiar detalhes (sulco gengival, irregularidades no palato), mas ficam películas bem delgadas do silicone leve reproduzidas no gesso, onde dificilmente é possível reposicionar o troquel no molde. Isto precisará ser aliviado e removido para obter encaixe. Quando há a certeza da inexistência de gap (espaço) no perímetro do troquel/molde, é hora de partir para a fixação e verte-se o gesso. Neste momento, a vibração, o peso do gesso e até a destreza do técnico em passar instrumental para remover bolhas entre os troquéis podem movimentar e deslocá-lo da posição ideal. Estes fatores aumentam a sensibilidade quanto à reprodutibilidade, com padronização dos resultados corretos. Nesta fase, a tecnologia pode minimizar os problemas da técnica convencional. A evolução de software, máquinas e materiais facilitou a aplicação da técnica digital e a padronização dos resultados, mas um dos inconvenientes é o aumento do custo.
A técnica de produção de modelos sempre foi deixada em segundo plano nos laboratórios e normalmente é executada por pessoas inexperientes. É necessário mudar o paradigma e investir em formação e treinamento nesta área. Muitos profissionais desta especialidade acabam sendo autodidatas e, a partir de demandas do dia a dia, criam soluções para os problemas.
Sabe-se que os gessos apresentam expansão final no momento do processo de cristalização e, por isso, o conhecimento técnico e das propriedades dos materiais permite controlar e modular estas limitações2.
Passo a passo da técnica aperfeiçoada pelo TPD Darlos Soares
Figuras 5 e 6 – Molde adequado com linhas de término bem definido, limpo, sem rebarbas de silicone de adição, leve e desinfetado. Proporcionar corretamente a manipulação a vácuo, sempre seguindo as recomendações do fabricante. Vazar somente na área de preparo. Caso seja modelo de boca total, deve-se verter todo o arco.


Figuras 7 a 9 – Após a cristalização do gesso, separar molde/modelo e seccionar os troquéis com disco apropriado, máquina selecionadora ou até mesmo com uma serrinha de arco e serra.



Figuras 10 a 12 – Utilizar broca de tungstênico tipo minicut (tarja vermelha) para preparar o troquel dando uma leve conicidade, pouca expulsividade e superfície bem regular. Procura-se não preparar a região lingual, para deixar uma área de suporte e apoio ao troquel no molde, garantindo estabilidade. Em casos de coroas, não é possível preservar parte do palato, sendo necessário desgastar o troquel em 360°. Esta etapa também auxilia na verificação da precisão do procedimento pela relação íntima da linha de união entre a superfície do gesso do modelo e o troquel, e a posição de assentamento final. Este método foi desenvolvido pela TPD Mariana Petric.



Figuras 13 a 15 – Após esta fase de conicidade e adaptação, são confeccionadas as canaletas verticais. Sugere-se três canaletas (duas palatinas mais profundas e uma vestibular mais suave, ou o contrário), que permitem a criação de um “pino de gesso” para orientar na inserção e estabilidade ao sistema. É importante não aliviar a região das canaletas.



Figuras 16 a 18 – Alívios seletivos “generosos” em cera no troquel. O objetivo é criar espaços entre o troquel e o modelo, ou seja, não deve haver contato. As canaletas e algumas áreas específicas não são aliviadas para permitir passividade e boa estabilidade do troquel no modelo sem danificar as papilas. Depois, todo o conjunto deve ser isolado e reposicionado dentro do molde.



Figura 19 – É preciso atenção nesta etapa crítica de posicionamento e fixação do troquel no molde, para evitar movimentação pela vibração e peso no momento de verter o gesso. Evite o uso de cianoacrilato (Super Bonder), que limita a liberdade de movimento para determinar a posição, pois corre-se o risco de colar e ainda cria uma espessura na superfície. Uma dica é passar vaselina sólida, criando uma película bem fina na superfície do preparo, pois isso ajuda no deslizamento do troquel no interior do molde até a posição de assentamento final, além disso, as forças de tensão superficial (coesão e adesão) auxiliarão na união e estabilidade entre as duas superfícies sobrepostas. Outra justificativa para a aplicação da vaselina é o preenchimento dos espaços, impedindo que o gesso vertido penetre em caso de espaços entre o conjunto molde/troquel. Outra possibilidade é a utilização de cola branca diluída em água e aplicada sobre o preparo com um pincel.

Figuras 20 a 22 – União entre os troquéis na ponta da raiz com cera, para o reposicionamento e fixação do troquel no molde, a fim de verter o gesso. Na segunda espatulação de gesso tipo IV, é muito importante controlar a viscosidade. Uma sugestão, é alterar a proporção água/pó para um pouco mais de água (menor expansão e maior fragilidade), para que a mistura fique mais fluida, não necessitando de tanta vibração para o escoamento do gesso no molde e troquel.



Figuras 23 a 26 – Imagens finais do modelo alveolar em gesso tipo IV, confeccionado pela técnica aperfeiçoada pelo TPD Darlos Soares.
“Este sistema de troquel alveolar que foi apresentado não pode ser considerado o melhor, o mais preciso, fácil, mais rápido e efetivo. É apenas uma opção frente a tantas outras técnicas que podem ser utilizadas. O mais importante é o profissional dominar a técnica e o sistema de trabalho selecionado”, Darlos Soares.




Modelo alveolar digital
A produção do modelo alveolar pela técnica digital é iniciada com o recebimento do modelo em formato STL, seja através de escaneamento intraoral enviado pelo dentista ou por meio da digitalização de modelos de gesso enviados por laboratório.
Um software com base em Exocad, como o model maker da Zirkonzahn – neste caso, optou-se pelo Model Creator da mais recente versão do Exocad 2.2 Valletta –, é utilizado para a execução do modelo alveolar fresado e impresso.
Utiliza-se o arquivo do modelo no software e escolhe-se o tipo a ser produzido. No caso dos modelos alveolares, foi selecionada a opção de modelo alveolar com troquéis destacáveis. Posteriormente, foram eliminadas todas as rebarbas do modelo virtual, orientando-o na posição espacial correta. A etapa seguinte foi escolher quais dentes seriam troquelizados e delimitar a margem de individualização, determinando também a direção de inserção de cada um dos troquéis com a definição de todos os parâmetros necessários referentes aos espaçamentos entre eles e a base do modelo. Esta é a etapa mais importante do processo, pois é fundamental decidir previamente como produzir o modelo para obter o máximo de precisão e adaptação dos troquéis à base do modelo funcional. Após o fornecimento de todas as informações ao software, é necessário gerar os modelos.
O software permite personalizá-los, identificando o nome do paciente e o número de trabalho, existindo também a possibilidade de relacionar o modelo com o seu antagonista (Figuras 27 a 30). Com relação ao método de produção, duas técnicas são viáveis: impressão 3D e fresagem CNC. A especificidade envolve os parâmetros de espaçamento, que são diferentes para os métodos de imprimir e fresar (Figuras 31 e 32).




Figuras 27 a 30 – Modelo alveolar digital confeccionado com software Model Creator da mais recente versão do Exocad 2.2 Valletta, sendo utilizado para a execução tanto do modelo alveolar fresado quanto impresso.

Figuras 31 e 32 – Impressora Formlabs (software Preform v2.17.0) e fresadora M4- Zirkonzahn (software de CAM Nesting v.10_654).
O processo de impressão possui limitação relacionada ao tempo e à sensibilidade do processo. A base do modelo e os troquéis apresentados demoraram cerca de cinco horas e 30 minutos para serem impressos. Posteriormente, foram lavados em banho de álcool isopropílico durante 30 minutos na Formwash e seguiram para um ciclo de polimerização de 60 minutos a 40ºC na Formcure. Este protocolo é essencial e está diretamente relacionado com a precisão e qualidade final do trabalho (Figuras 33 a 38).

Figuras 33 e 34 – Lavadora ultrassônica Formwash (Formlabs) e polimerizadora Formcure (Formlabs), essenciais para um resultado final apropriado.



Figuras 35 a 38 – Modelos alveolares obtidos pela técnica de impressão com equipamento Formlabs 2 e resina cinza (Formlabs).
Já o processo de fresagem possui como limitação o maior custo do equipamento e do material. Foi utilizado o disco de resina Temp Basic Tissue e Multistratum Flexible (Zirkonzahn). Após a fresagem, foi realizado um acabamento manual simples de polimento de superfície (Figuras 39 a 43).




Figuras 39 a 43 – Modelos alveolares obtidos pela técnica de fresagem com fresadora M4-Zirkonzahn (software de CAM Nesting v.10_654) e disco de resina Temp Basic Tissue e Multistratum Flexible (Zirkonzahn).
Naturalmente, é necessária uma análise comparativa entre as três formas de se obter os modelos alveolares. Abaixo, um quadro demonstrativo sob diferentes aspectos.
Assim, a produção digital de modelos permite maior reprodutibilidade e previsibilidade de resultados, com uma qualidade final de produção bastante elevada. O ponto desfavorável está na necessidade de alto investimento em equipamentos e softwares.
TABELA 1 – ANÁLISE COMPARATIVA ENTRE OS DIFERENTES MÉTODOS PARA OBTENÇÃO DOS MODELOS ALVEOLARES

“O resultado da impressão 3D está diretamente relacionado com o tratamento pós-impressão, dando muita atenção às temperaturas e aos tempos de polimerização da resina. A técnica convencional de gesso é, sem dúvida, a mais econômica, porém não nos dá garantia de reprodutibilidade. Além disso, o tempo necessário para sua correta execução é extremamente elevado”, Diogo Viegas.
“Como tempo é dinheiro, se eu tivesse que optar por uma técnica de produção de modelos alveolares, eu escolheria o método digital alternando entre a impressão 3D e a fresagem consoante como objetivo final do trabalho”, João Fernandes.
Consideração final
Ainda não se conhece métodos laboratoriais capazes de produzir resultados satisfatórios sem gerar estresse e horas de dedicação. A união entre um conceito, uma técnica aplicável com reprodutibilidade e a tecnologia para potencializar o fluxo de trabalho poderia preencher a lacuna entre as limitações de habilidade técnica, produtividade e qualidade final dos trabalhos.
Pode-se trabalhar com agilidade sem perder a qualidade, eficiência e precisão. A literatura sugere que esta resposta pode vir da união entre técnica e tecnologia para potencializar o fluxo de trabalho, e que a única maneira de produzir resultados interessantes é sendo fiéis aos nossos conceitos, princípios e convicções – que nos fazem lutar para fazer a diferença e buscar a excelência3.
Assim, o objetivo foi integrar os conceitos fundamentais por meio da tecnologia e apresentar conceitos e diferentes métodos para a confecção dos modelos alveolares, caracterizados por preservarem a morfologia dos alvéolos e, principalmente, a arquitetura gengival em modelos de gesso, o que permite criar uma referência importante para o desenvolvimento do contorno cervical e perfi l de emergência para a futura prótese.
Referências
1. Tric O. The carrot model. Spectrum dialogue. 2010;9(2).
2. Anusavice KJ, Phillips. Materiais Dentá rios (12a ed.). Elsevier LTDA., 2013.
3. Sillas D (editorial). In: Quintessence of Dental Technology. Quintessence Publishing Co., 2013.
*Agradecimento ao Dr. Salvador Barbosa, por ceder o molde para obtenção dos modelos deste trabalho.
Coordenação:

Guilherme Saavedra
Professor assistente do Depto. de Materiais Odontológicos e Prótese, e professor da especialidade de Prótese Dentária do programa de pós-graduação em Odontologia Restauradora – ICT Unesp.
Autores convidados:

Darlos Soares
Técnico em prótese dentária; Diretor técnico do Instituto Murilo Calgaro; Conselheiro científico da revista Prosthesis Science; Membro do Intellectus Team; Coautor do livro Reconstruindo Sorrisos (Apdesp, 2015).

João Pedro Fernandes
Técnico em prótese dentária – Escola Superior de Saúde Egas Moniz, em Almada (Portugal); Sócio-gerente do laboratório Dental Milling Technology (DMT), em Lisboa (Portugal).

Diogo Viegas
Professor e doutorando em Medicina Dentária (especialidade Reabilitação Oral) – Faculdade de Medicina Dentária da Universidade de Lisboa, em Portugal.
Assuntos Relacionados:
modelos alveolares; convencional; digital; tecnologia; Guilherme Saavedra